Cosmetic Dentistry in Charlotte, NC
Artistry to Elevate Your Smile
- A boutique, non-corporate team
- 500+ 5-star reviews
- 100s of hours of continuing education
- Free virtual consultations!

Your Smile, Crafted by Experts Meet Your Charlotte Cosmetic Dentists
At Southview Dentistry, your cosmetic care is overseen by Drs. Kelly and Micheal Wilson, a husband-and-wife team who believe dentistry is an equal balance of science and art. Their work is driven by results, refined by experience, and personalized for your precise goals.
Dr. Micheal Wilson
- Special experience in surgical procedures and full-smile reconstructions
- Trained under an oral surgeon for six years before founding Southview Dentistry
- Combines technical skill with artistic instinct
Dr. Kelly Wilson
- Focuses on Invisalign, veneers, and myofunctional therapy
- Trained at the Spear Institute and serves as a Breathe Institute Ambassador
- Known for gentle, detail-minded care for patients of all ages
Start your smile transformation with a cosmetic dentist in Charlotte, NC, who listens, plans, and delivers. Book your free virtual consult today.
“Have been coming here for years and brought friends here as well. The best dental care, service and attitude you can get in Charlotte. You’ll never be treated as a number. It’s a family business and they treat you like one.”—Violetta D., 5-Star Patient Review


New to Southview?
Your first appointment includes all X-rays, a comprehensive exam, and cleaning for $465. Insurance can be applied to this visit.
Southview Discount Plan
Our in-house plan lets you enjoy 25–30% off regular fees for just $75/year. It’s a great way to save on cosmetic services not typically covered by insurance.
Financing Options
We work with CareCredit® and accept interest-free or low-interest financing plans based on your credit score. You can also set up monthly payments in advance of your procedure with our in-office team.
Our Featured Cosmetic Services
Dental Crowns
Crowns are a fundamental part of our cosmetic approach. If you’re looking to protect a compromised tooth or complete a smile makeover, our in-office milling tech means you won’t need to wait weeks for a lab-created restoration. Each crown we make is color-matched and custom-shaped to blend in naturally with your smile.



Invisalign
Dr. Kelly Wilson approaches Invisalign in Charlotte, NC, with a whole-health approach. With training in myofunctional therapy, she can address underlying concerns like tongue posture or breathing issues, which can improve your overall health and prolong your results. Southview patients love that clear aligners are comfortable and removable.

Teeth Whitening
Want a brighter, more youthful smile? Our whitening options include in-office treatments and customized take-home trays. No matter which option you choose, you can get longer-lasting, safer, and more uniform results than store-bought kits offer.

Veneers
We specialize in nearly prepless veneers that maintain the structure of your natural teeth while dramatically upgrading your smile. These veneers can be crafted in-office for small cases or sent to elite partner labs for more complex transformations. They’re ideal for chips, discoloration, small gaps, or worn edges.



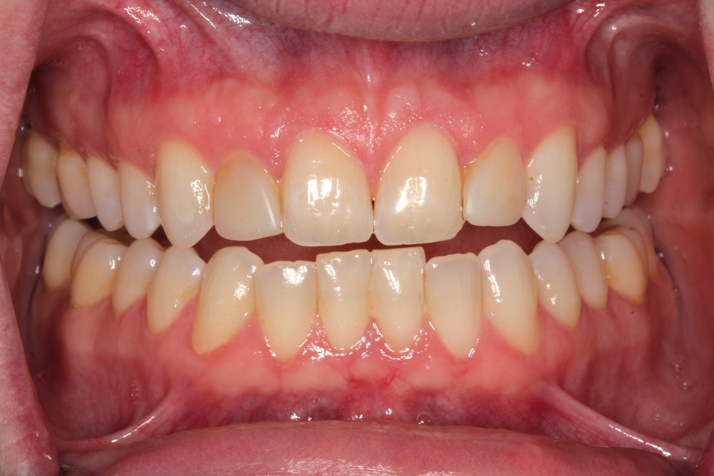
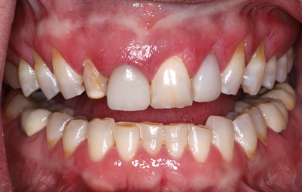
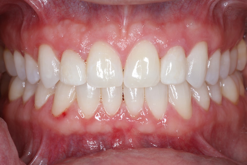
Smile Makeovers
Looking for a full cosmetic refresh? A smile makeover in Charlotte, NC, combines two or more treatments (like Invisalign, veneers, and whitening) for a customized and streamlined outcome. Your plan will start with a photo consult and preview mockups so you can visualize your new smile before committing.

FAQs About Cosmetic Dentistry in Charlotte, NC
How can I sign up for a free cosmetic consultation?
We offer free virtual consultations through the Smile Virtual app. Simply upload selfies and share your goals, and we’ll send back a personalized video with treatment recommendations.
Does insurance cover cosmetic dentistry?
Dental insurance doesn’t cover elective work like veneers or teeth whitening, but some plans may contribute to crowns or Invisalign if they have health benefits. We’ll help you verify the details and work to maximize your coverage.
How long will my smile results last?
The results from professional teeth whitening can last six months to over a year before it’s time for a touch-up, depending on your diet and lifestyle. Porcelain restorations like crowns and veneers can last over a decade, and the results from Invisalign can last a lifetime with proper care.
“Dr. Michael is the best. He made me feel so comfortable and did a great job on the dental work I needed - fillings and cosmetic. Everyone in the office is so kind, they really go the extra mile. I highly recommend this office!”—Bailey L., 5-Star Patient Review


